Patientenfälle

Die hier abgebildeten Patienten und ihre Eltern wurden in einem ausführlichen Aufklärungsgespräch über den Nutzen, die Risiken und Erfolgsaussichten ihrer Behandlung sowie über Alternativen und Kosten informiert und haben sich für ihre Behandlungsmethode entschieden. 

Je nach Alter des Patienten und Fall, Behandlungsgerät und mehr oder weniger ausgeprägtem Wunsch nach ästhetischer Perfektion kann die Behandlungsdauer zwischen sechs Monaten und vier Jahren betragen.

Derzeit befinden sich diese Patienten noch in der Weiterbehandlung zwecks Fertigstellung oder in der Nachbetreuung zwecks Stabilisierung des Behandlungsergebnisses.

Zu den Kinder- und Jugendlichen-Patientenfällen 

Zu den Erwachsenen-Patientenfällen 

 

 

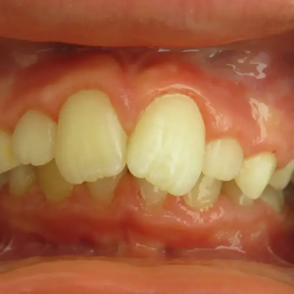
Kinder- und Jugendlichen-Patientenfälle

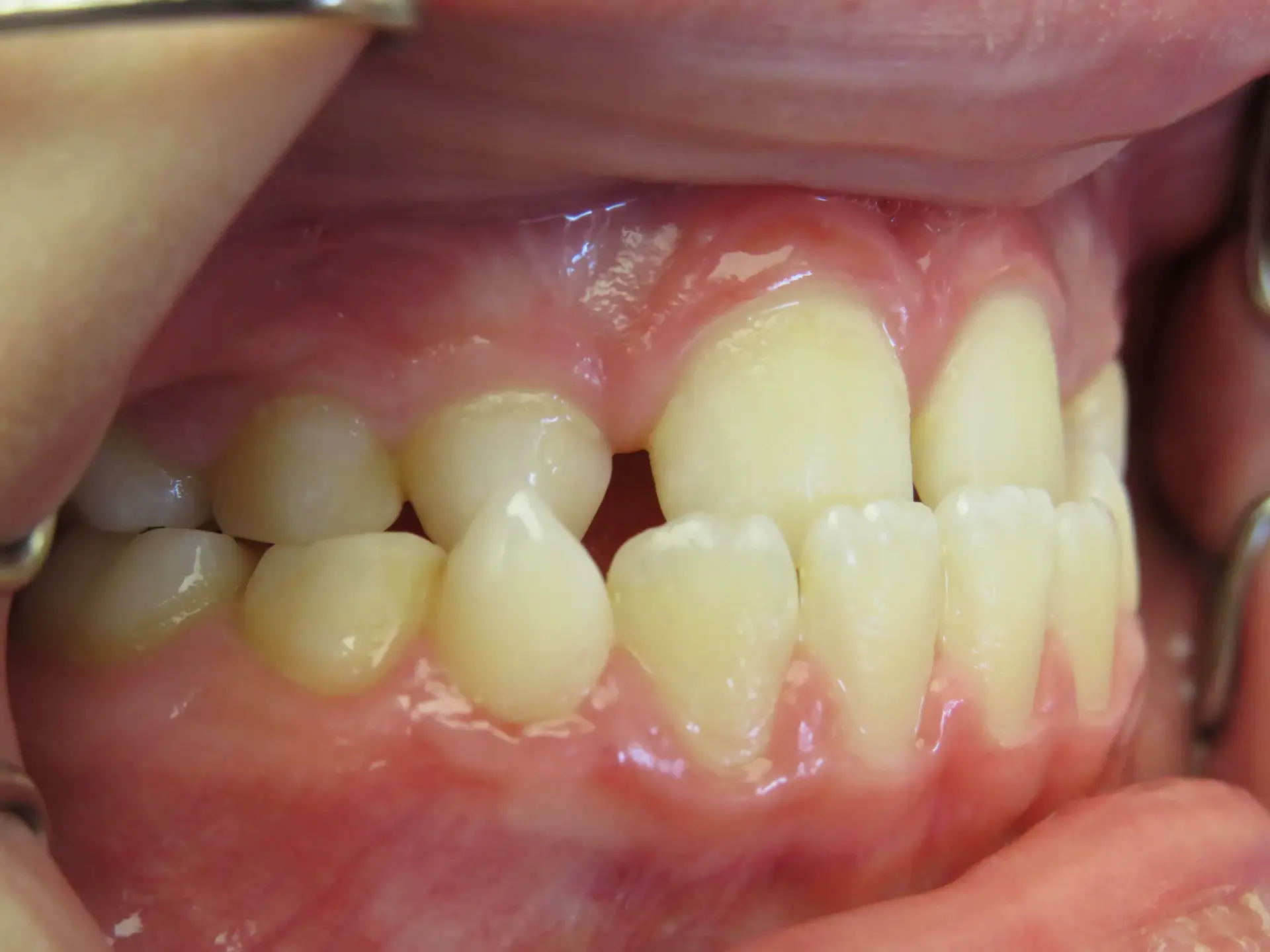
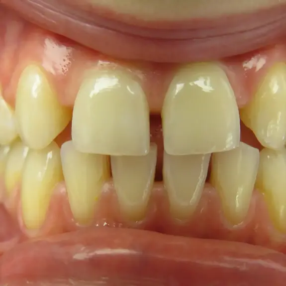
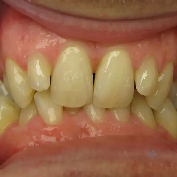
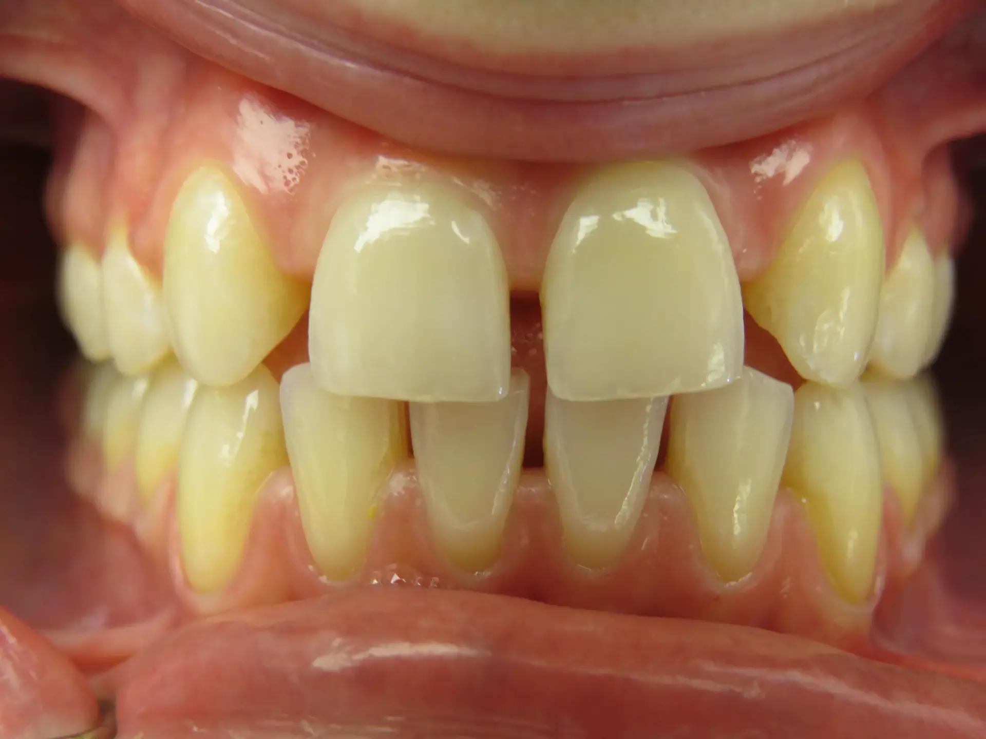
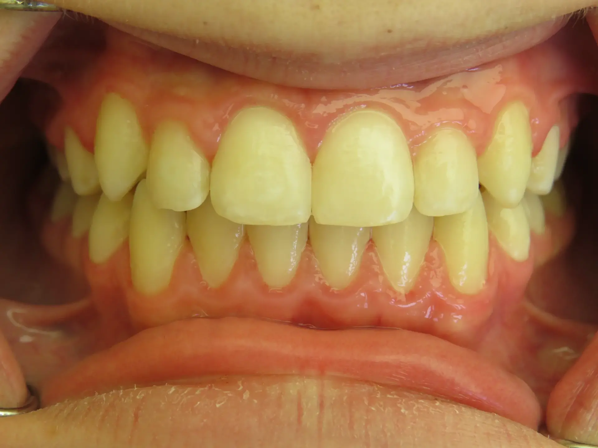
Patientenfall #1

Patient L.D. 
Behandlung mit Bionator
Dauer der Behandlung: 3-4 Jahre

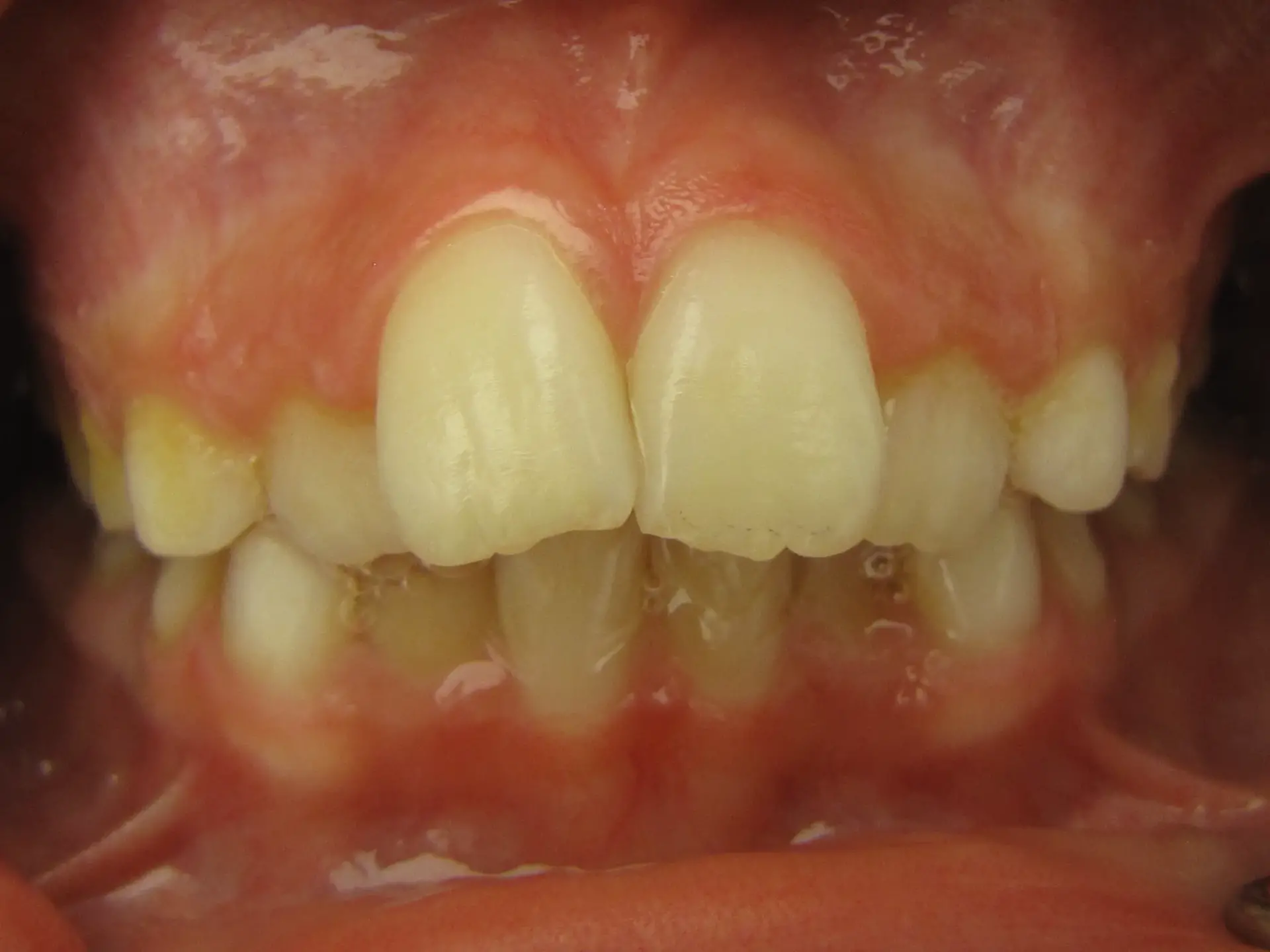
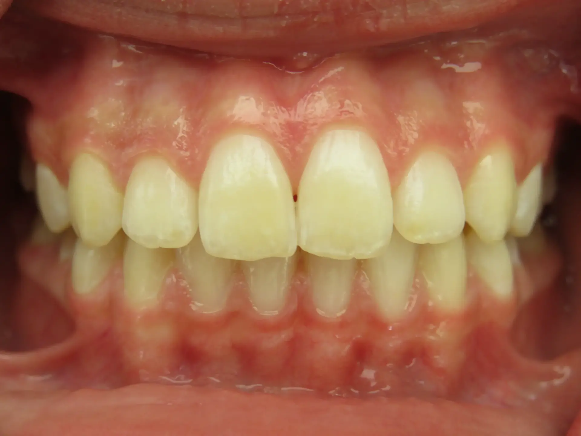
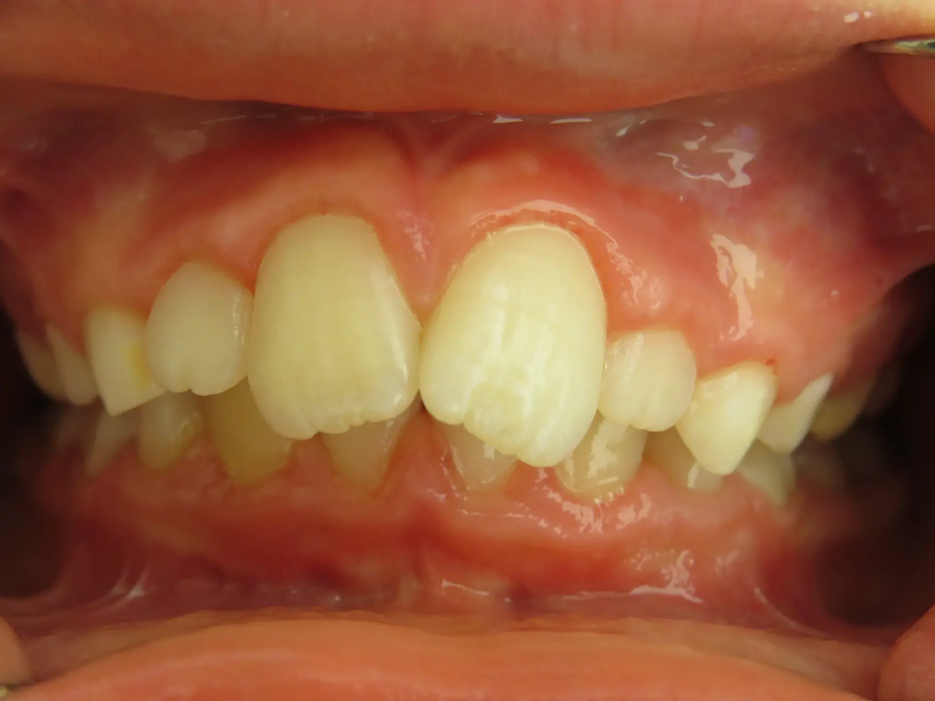
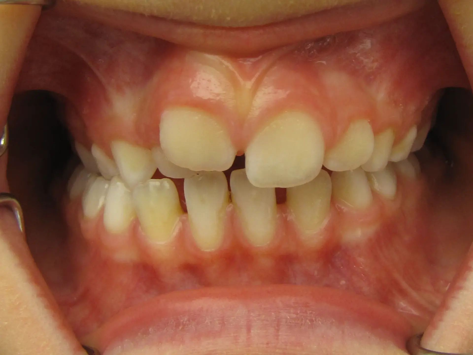
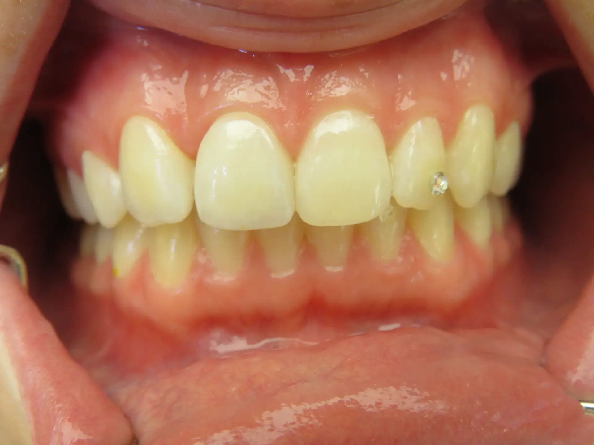
Patientenfall #2

Patient L.P.,
Behandlung mit Bionator 
Dauer der Behandlung: 4-5 Jahre

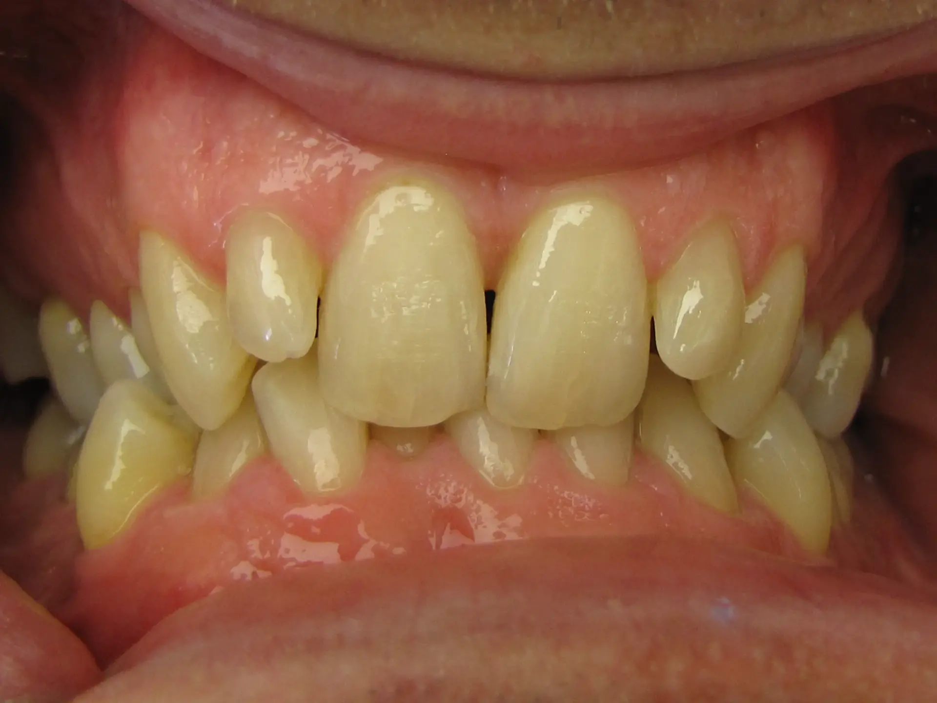
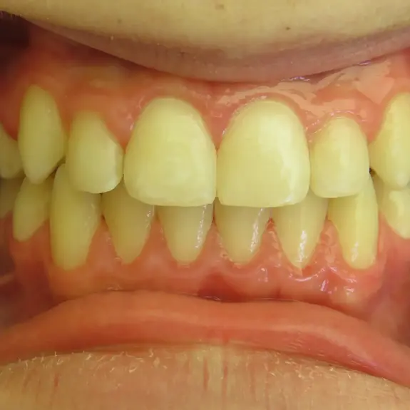
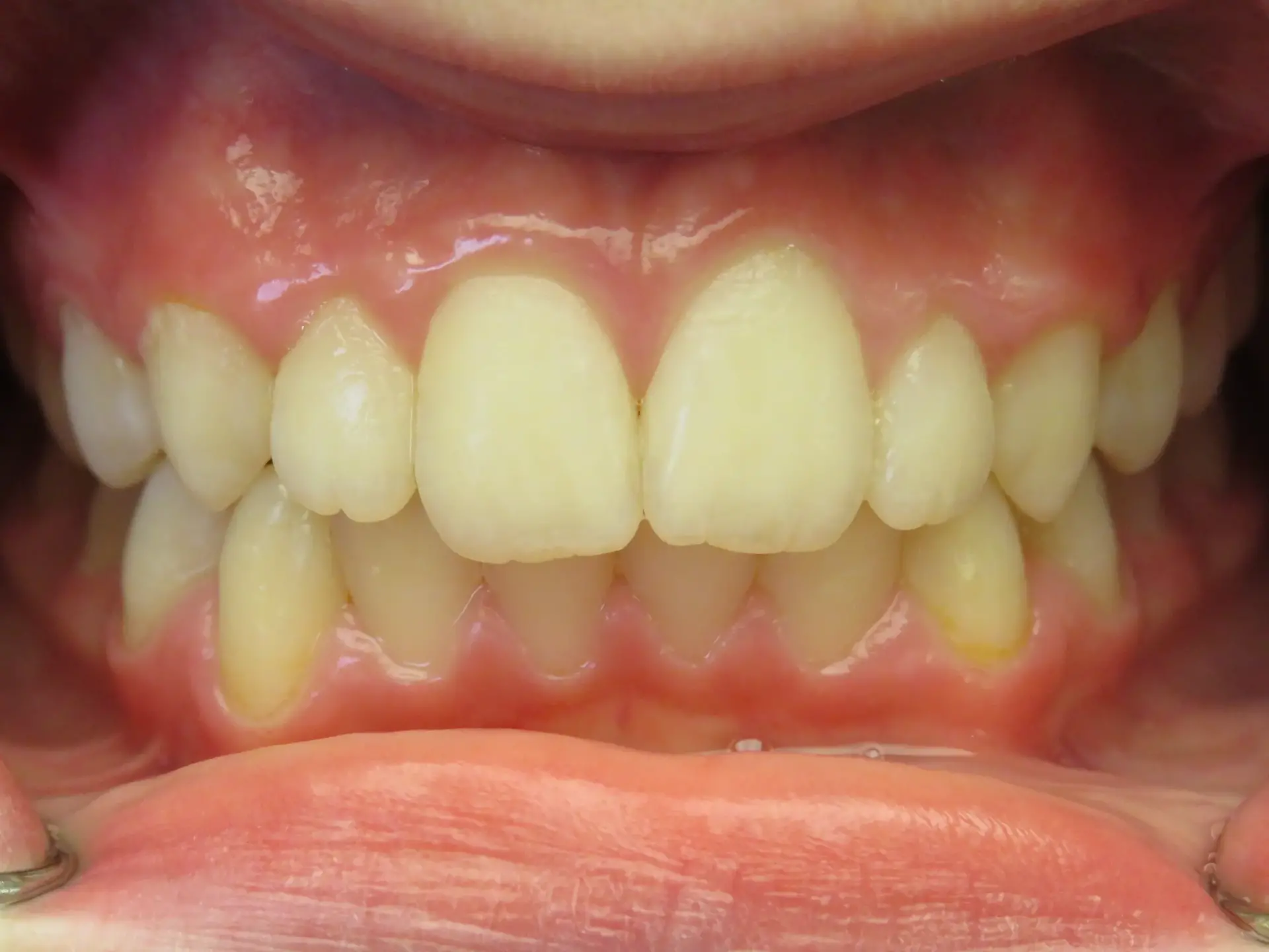
Patientenfall #3

Patient M.A.
Behandlung mit Bionator
Dauer der Behandlung: 1.5 Jahre

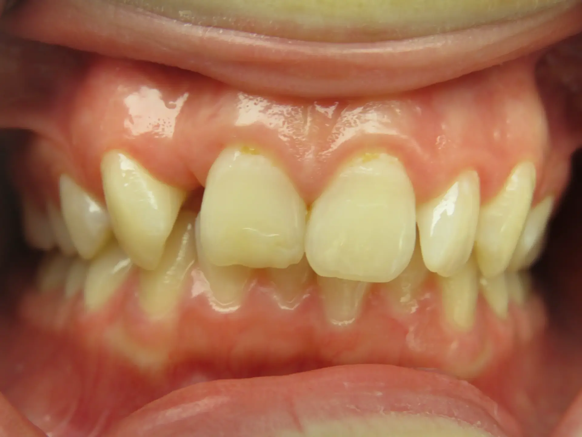
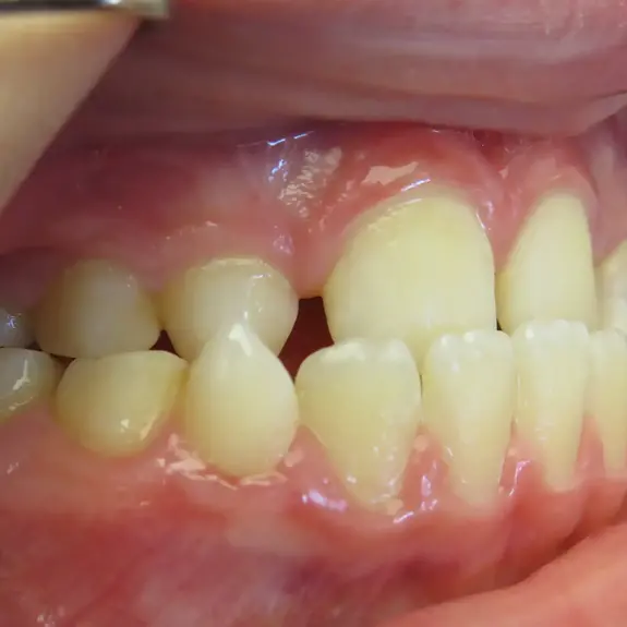
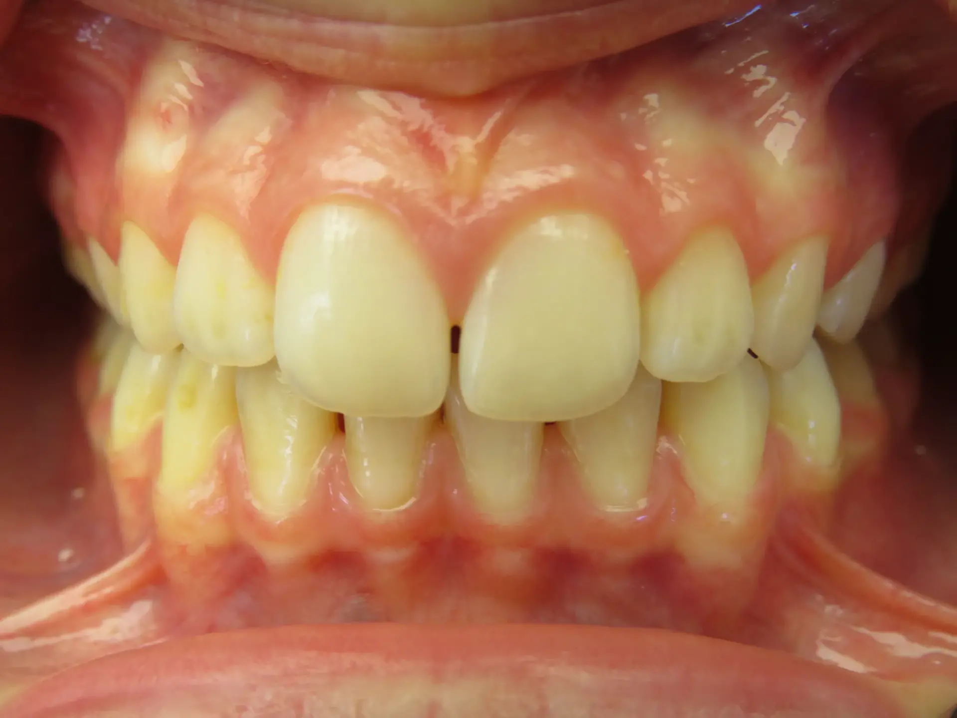
Patientenfall #4

Patient D.Y.
Behandlung mit Bionator und Invisalign
Behandlungsdauer: 3 Jahre

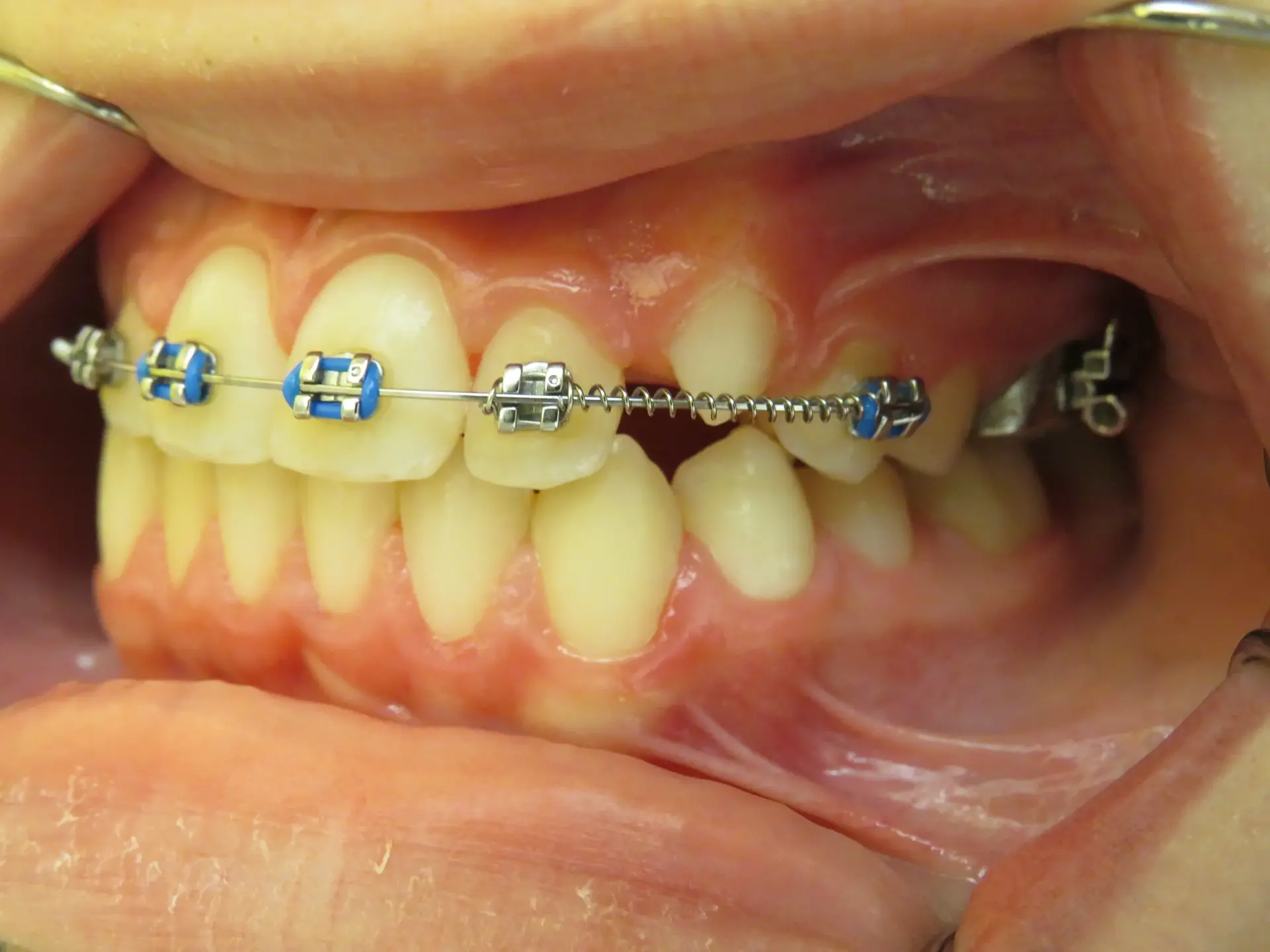
Patientenfall #5

Patient B.A.
Behandlung mit fester Spange («Gartenhag»)
Behandlungsdauer: 2 Jahre

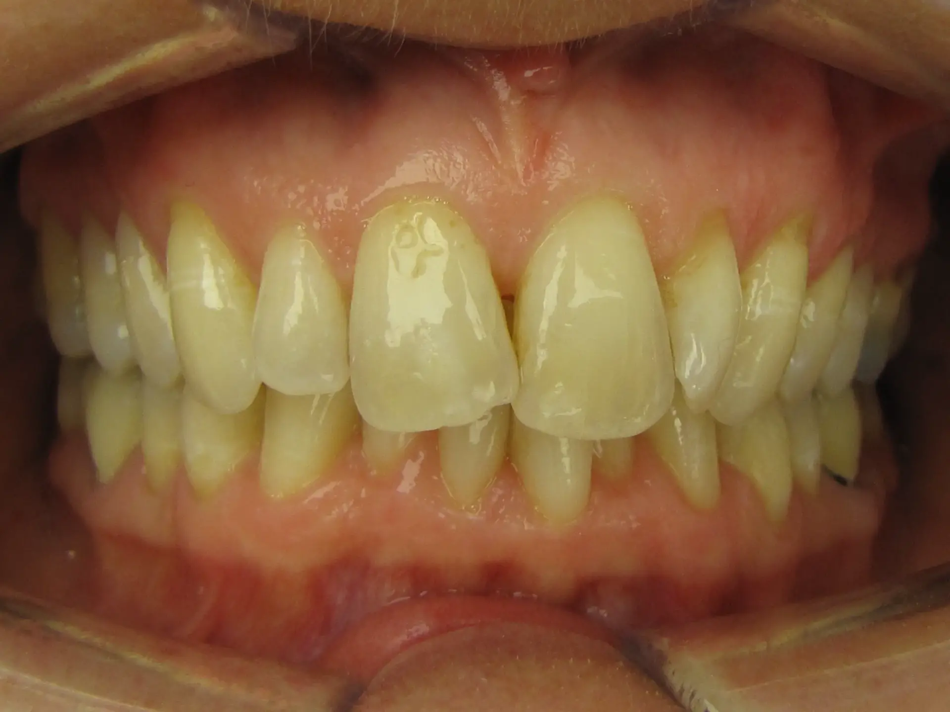
Patientenfall #6

Patient S.N.,
Behandlung mit Bionator (3 Jahre) und fester Spange («Gartenhag») (1.5 Jahre)

Patientenfall #7

Patient T.H.
Behandlung mit fester Spange („Gartenhag“)
Behandlungsdauer: 12 Monate (wachstumsbegleitend)

Patientenfall #8

Patient H.A.
Behandlung mit Invisalign, 6 Monate, anschliessend Aufbau der zu schmalen Schneidezähne mit Kunststofftechnik (ohne Beschleifen des Zahnschmelzes)
Behandlungsdauer: 6 Monate

Patientenfall #9

Patient G.M.
Behandlung mit Invisalign
Behandlungsdauer: 6 Monate

Patientenfall #10

Patient K.A.
Behandlung in zwei Phasen mit
a) fester Spange („Gartenhag“),
b) Invisalign 

Behandlungsdauer:
Phase a) 12 Monate,
Phase b) 6 Monate.
Anschliessend Formkorrektur des Eckzahns mittels Keramikveneer. 

Patientenfall #11

Patient M.S.
Behandlung mit Bionator 1.5 Jahre, Invisalign 6 Monate

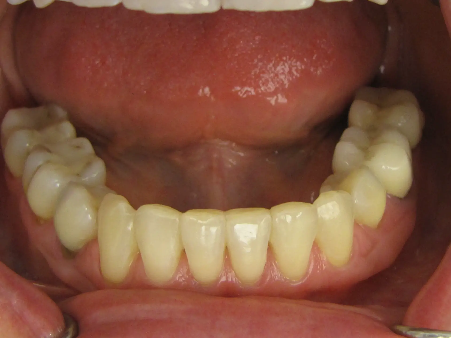
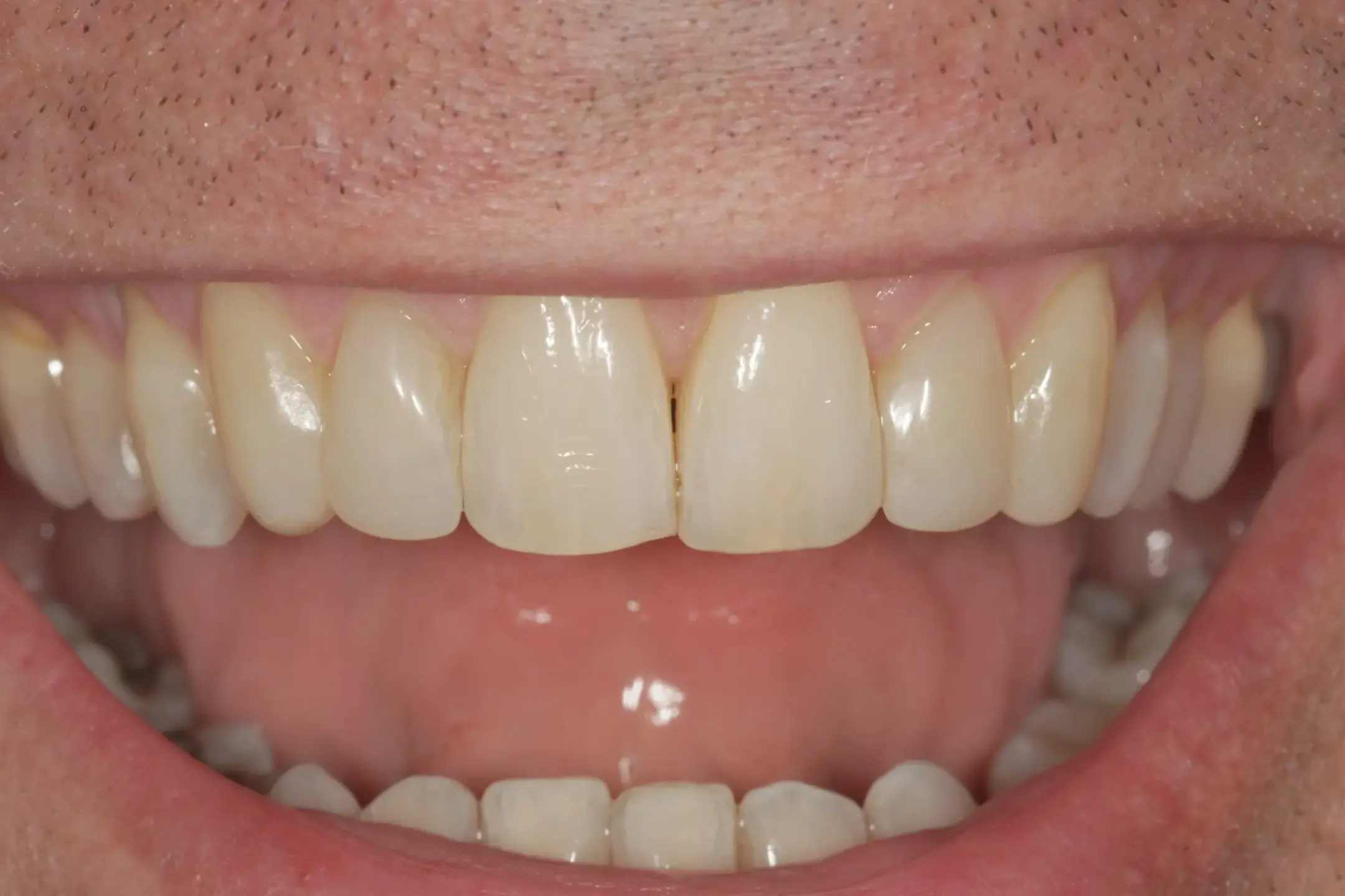
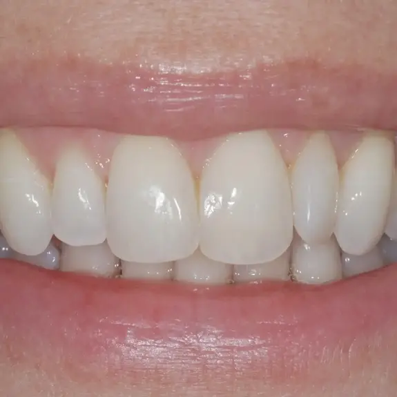
Erwachsenen-Patientenfälle

Patientenfall #12

Patient G.I.
Alter: 44
Behandlung mit Invisalign, 6 Monate, anschliessend Aufbau der Schneidekanten

Patientenfall #13

Patient S.J.
Alter: 43
Behandlung mit Invisalign, 9 Monate, anschliessend Aufbau der Schneidekanten

Patientenfall #14

Patient V.S.
Alter: 45
Behandlung mit fester Spange, Unterkiefer
Behandlungsdauer: 7 Monate

4 Merlot 2015 wurde dem Warenkorb hinzugefügt. wurde dem Warenkorb hinzugefügt.
Schliessen Zum Warenkorb